Ziekte MG
Chelated Magnesium Tabletten Solgar Vitamins

Apotheek Van Landschoot Kaprijke 9970 Kaprijke Home Meloxicam Teva 15 Mg 30 Tabl
Myasthenia Gravis Zhb1 Wg2 Myasthenia Gravis Mg Letterlijke Vertaling Voor Ernstige Studeersnel
Zwanger Met Medicijnen Thiosix Voor De Ziekte Van Crohn Papa Is De Liefste
Internationale Zeldzame Ziektendag Auto Immune Myasthenia Onder De Aandacht Gebracht Mediquality
Spierziekten Nederland Onderzoek Musk Mg Is Aparte Ziekte
Ziekte Van Meniere Apotheek Claeys
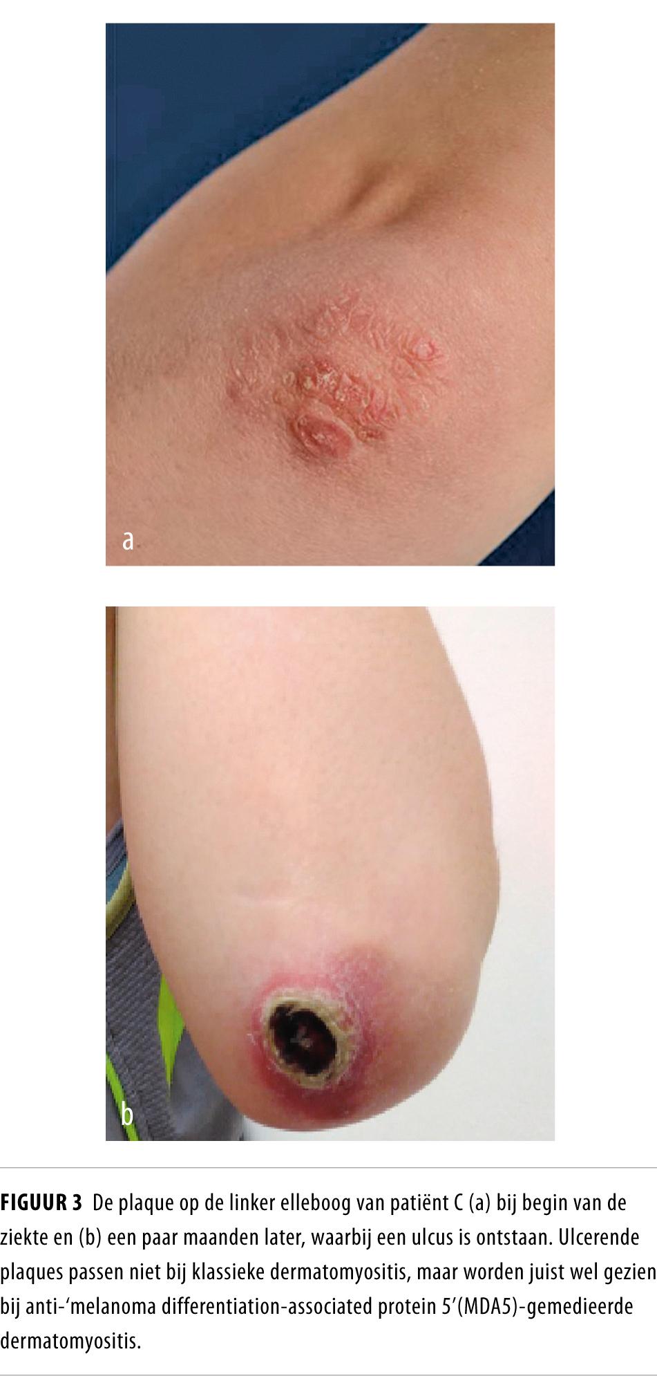
Myositis Is Meer Dan Een Spierziekte Ntvg
Multivitaminen En Mineralen Complex Hond En Kat Idyilse
Ziekte Van Hailey Hailey Pemphigus Benignus Familiaris Chronicus Erosies In De Oksels En Liezen Autosomaal Dominante Aandoening Defect Atp2c1 Gen Calciumhuishouding In De Cel
Myasthenia Gravis Mg Spierziekten Vlaanderen
42yrulvy9zyxem
Solgar Pycnogenol 30 Mg 30 St Shop Apotheke Ch
Ziekte Van Crohn En Magnesium Crohn Belemmert Magnesiumopname
Medicijn Tafamidis Bij Zeldzame Ziekte Alleen In Basispakket Als Prijs Meer Dan Halveert Nieuwsbericht Zorginstituut Nederland
Door Run Op Diabetesmiddel Om Af Te Vallen Krijgt Gea Dit Niet Meer Voor Haar Ziekte Kro Ncrv
Cbd En De Ziekte Van Parkinson Pure Organic Cbd
Etos Hoest Bruistabletten Acetylcysteine 600 Mg 10 Ea Etos